Брекети або елайнери: Що обрати? Огляд стоматологій Тернополя (партнерський проєкт)

Брекети чи елайнери: що краще для вирівнювання зубів?
Дізнайтеся про переваги та недоліки кожного методу в нашому огляді стоматологій Тернополя. Виберіть ідеальне рішення для своєї посмішки!
Зміст:
- Стоматологія «O Dent»
- «Стоматологія Олексюка»
- Стоматологічна клініка «Діамант»
- Стоматологічна клініка «Da Vinci»
- Стоматологічній клініка «Добра Стоматологія»
- Стоматологія SLclinic
- Лікар-стоматолог-ортодонт Тьора Катерина
- «Сімейна стоматологія Юрія Верещагіна»
- «Стоматологія на Татарській»
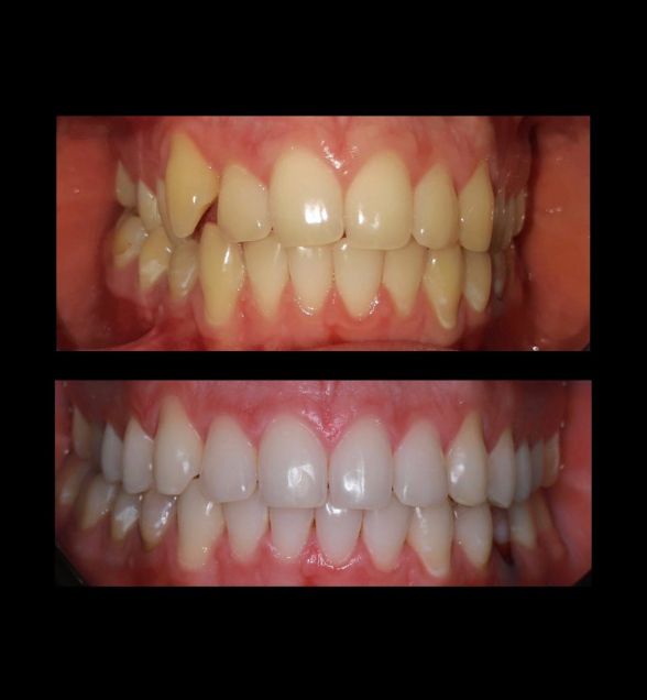
Стоматологія «O Dent»
В яких випадках необхідно встановлювати брекет-системи?
- Скупченість зубів;
- Неправильний прикус;
- Проміжки між зубами;
- Зміщення зубів.
У стоматології «O dent» до ваших послуг - виготовлення індивідуальних пластинок та апаратів, встановлення брекетів, елайнерів.
- Металеві брекети - перевірені часом системи, що дозволяють швидко досягати позитивних результатів.
- Сапфірові брекети - це конструкції, що складаються із штучних кристалів сапфіру.
- Металева брекет-система 2 на 4 - для легкої корекції у фронтальній ділянці.
- Самолігуючі брекети - перевірені часом системи, що дозволяють швидко досягати позитивних результатів.
- Керамічні брекети - це конструкції, що складаються із штучних кристалів сапфіру.
- Елайнери - це особливі капи, що використовуються в естетичній стоматології.
Довірте встановлення брекет-системи лікарю Теслюк Олені Михайлівні.
Записуйтеся на консультацію та отримайте:
- рекомендації щодо лікування;
- детальну консультацію;
- вартість вашого лікування;
- відповім на запитання максимально детально.
Окрім ортодонтії стоматологія «O dent» пропонує:
- Дитяча стоматологія-лікування зубів наймолодших пацієнтів – швидко, безболісно та з подарунками.
- Доросла стоматологія-лікування карієсу, протезування, встановлення імплантів, реставрація та вініри.
- Художня реставрація-максимально природне відновлення зубів, їх форми і кольору.
Комплексний підхід та новітні технології гарантують комфортне та безболісне лікування.
Наші стоматологи допоможуть створити посмішку Вашої мрії!
Адреса: м. Тернопіль, вул. Торговиця 15Б.
Тел.: (097) 573 37 13.
https://www.instagram.com/orthodont.ternopil/
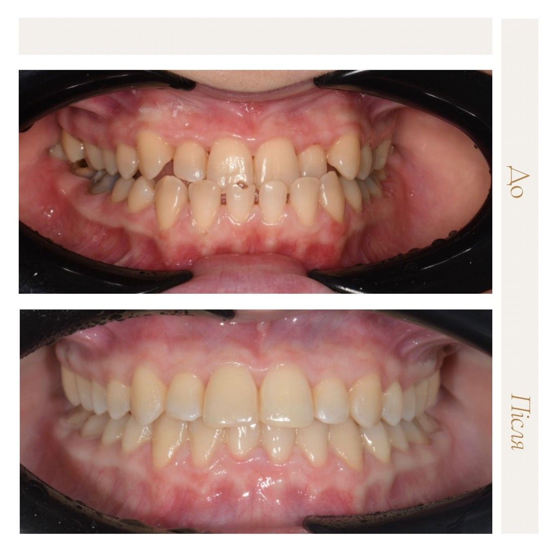
«Стоматологія Олексюка»
«Стоматологія Олексюка» вже понад 10 років дарує пацієнтам здорові та привабливі посмішки. У клініці надається повний спектр стоматологічних послуг, серед яких ортодонтія займає провідне місце. Ми поєднуємо сучасні технології, індивідуальний підхід до лікування та найкращі матеріали, аби забезпечити нашим пацієнтам комфорт і якісний результат.
У нас, ортодонтичне лікування проводиться за допомогою:
• Брекет-систем (металевих, керамічних, сапфірових);
• Елайнерів (прозорих кап).
Вибір методики залежить від клінічного випадку, естетичних уподобань пацієнта та результатів діагностики. Для встановлення оптимального плану лікування проводяться:
• консультація та опитування пацієнта;
• огляд ротової порожнини;
• фотопротокол;
• сканування зубних рядів;
• КТ.
Перед початком лікування важливо підготувати зуби: пролікувати карієс, провести професійну гігієну та забезпечити здоров’я ясен.
Що обрати?
Кожен метод лікування має свої особливості та переваги:
Брекет-системи
• Підходять для складних випадків.
• Ефективно коригують прикус і вирівнюють зубні ряди навіть у найскладніших ситуаціях.
• Доступні у різних варіантах.
• Недоліки: утруднена гігієна ротової. Контрольний огляд щомісяця.
Елайнери (прозорі капи)
• Майже непомітні на зубах.
• Забезпечують комфорт.
• Полегшують гігієну ротової порожнини.
• Самостійно змінюєте капи відповідно до графіка.
• Недоліки: вимагають високої дисципліни, адже носити їх потрібно 22 години на добу.
Вартість елайнерів вища, через залучення сучасних технологій і виготовлення індивідуальних кап.
Після завершення лікування, обовʼязковим є етап збереження досягнутого результату, що забезпечується ретейнерами або ретенційними капами.
Що Ви отримуєте обираючи нас?
• Використання сучасних технологій та матеріалів найвищої якості.
• Лікування за міжнародними стандартами.
• Індивідуальний підхід до кожного пацієнта.
• Висококваліфіковані лікарі, які постійно вдосконалюють свої знання.
• Комфортна та дружня атмосфера.
У «Стоматології Олексюка» ви зможете обрати оптимальний спосіб ортодонтичного лікування та досягти своєї мрії – ідеальної посмішки.
Контакти:
Адреса: вул. Глибока 25, м. Тернопіль
Тел.: (098) 130 13 71
Графік роботи: Пн-Сб: 9:20, Нд – за попереднім записом
Сайт: o.dental
Стоматологічна клініка «Діамант»
Досконалий прикус із клінікою «Діамант»
Стоматологія – це не тільки про здорові зуби, а й про комфорт, довіру та повагу до кожного пацієнта.
Тернопільська клініка «Діамант» вдало поєднує сучасні підходи до лікування із щирою турботою про кожного – від наймолодших до дорослих.
Головна особливість клініки – індивідуальний підхід.
Завдяки сучасному діагностичному обладнанню тут ретельно обстежують ротову порожнину, виявляють навіть дрібні проблеми та створюють персональний план лікування.
Клініка дотримується принципу прозорості: пацієнти завжди в центрі уваги.
Лікарі детально пояснюють кожен етап, аргументують необхідність процедур і надають повну інформацію про вартість, щоб рішення було зваженим і комфортним для пацієнта.
У «Діаманті» чудово знають, як важливо знайти підхід до дітей, адже їхні перші візити до стоматолога впливають на ставлення до лікування у майбутньому.
Команда клініки забезпечує малечі спокій та комфорт, перетворюючи кожен візит на позитивний досвід.
Серед послуг клініки:
- повна діагностика із застосуванням новітнього обладнання;
- лікування карієсу та ясенних захворювань;
- естетична реставрація зубів;
- ортодонтичне лікування (брекети та елайнери);
- професійне відбілювання та гігієнічні процедури.
Пацієнти відзначають не лише високий рівень професіоналізму, а й дружню атмосферу, де враховують індивідуальні потреби кожного.
Тут дбають не лише про здоров’я зубів, але й про спокій і довіру кожного, хто сідає у стоматологічне крісло.
Стоматологічна клініка «Діамант» – це місце, де ви відчуєте турботу та впевненість у правильності свого вибору.
Здоров’я зубів і комфорт пацієнтів – головний пріоритет команди професіоналів.
Адреса: м.Тернопіль вул.Київська 6А/19
Тел.: (068) 109 77 77
https://diamant.te.ua
https://www.instagram.com/diamant_dentistry
https://www.tiktok.com/@st.diamant
Ліц Серія AГ №600386 вид МОЗУ від 31.05.12р
Стоматологічна клініка «Da Vinci»
Інновації та комфорт у «Da Vinci»
Красива усмішка та правильний прикус актуальні у будь-якому віці!
І якщо донедавна вважалося, що виправленням прикусу варто займатися лише у підлітковому віці, то сьогодні ми з впевненістю стверджуємо — це можливо і в 6, і в 15, і в 65!
Клініка «Da Vinci» використовує сучасні підходи до лікування та прагне зробити процес максимально комфортним і ефективним для кожного пацієнта.
Головною перевагою є цифрові протоколи, які дозволяють проводити точну діагностику та створювати персоналізовані плани лікування.
Тут працюють висококваліфіковані фахівці, які беруться навіть за найскладніші випадки, включаючи проблеми із суглобами нижньої щелепи.
Методи виправлення прикусу в «Da Vinci»:
Брекет-системи — різні типи для будь-яких потреб і бюджету.
Елайнери — прозорі капи, які забезпечують комфорт та естетику.
Спеціальні апарати — для вирішення функціональних і структурних проблем.
Чому обирають «Da Vinci»:
- Використання інноваційного обладнання та новітніх матеріалів
- Повна прозорість у лікуванні: до початку процедур пацієнт отримує чіткий план дій із розрахунком вартості.
- Дружня атмосфера та турбота про кожного пацієнта.
- Крім корекції прикусу, клініка пропонує естетичні послуги, такі як професійне відбілювання та реставрація зубів.
У «Da Vinci» пацієнти отримують не лише якісне лікування, а й упевненість у собі та своїй посмішці.
Зробіть крок до красивої посмішки і переходьте в зоряну лігу!
Адреса: м. Тернопіль, Площа Героїв Євромайдану 7, (4 поверх),
Тел.: (067) 077 17 77.
Час роботи: Пн.-Пт. – з 9:00 до 20:00. Сб. – з 9:00 до 15:00.
Instagram: @davinci.clinic.te
Ліц. №3931/Л-П від 25.08.20р.
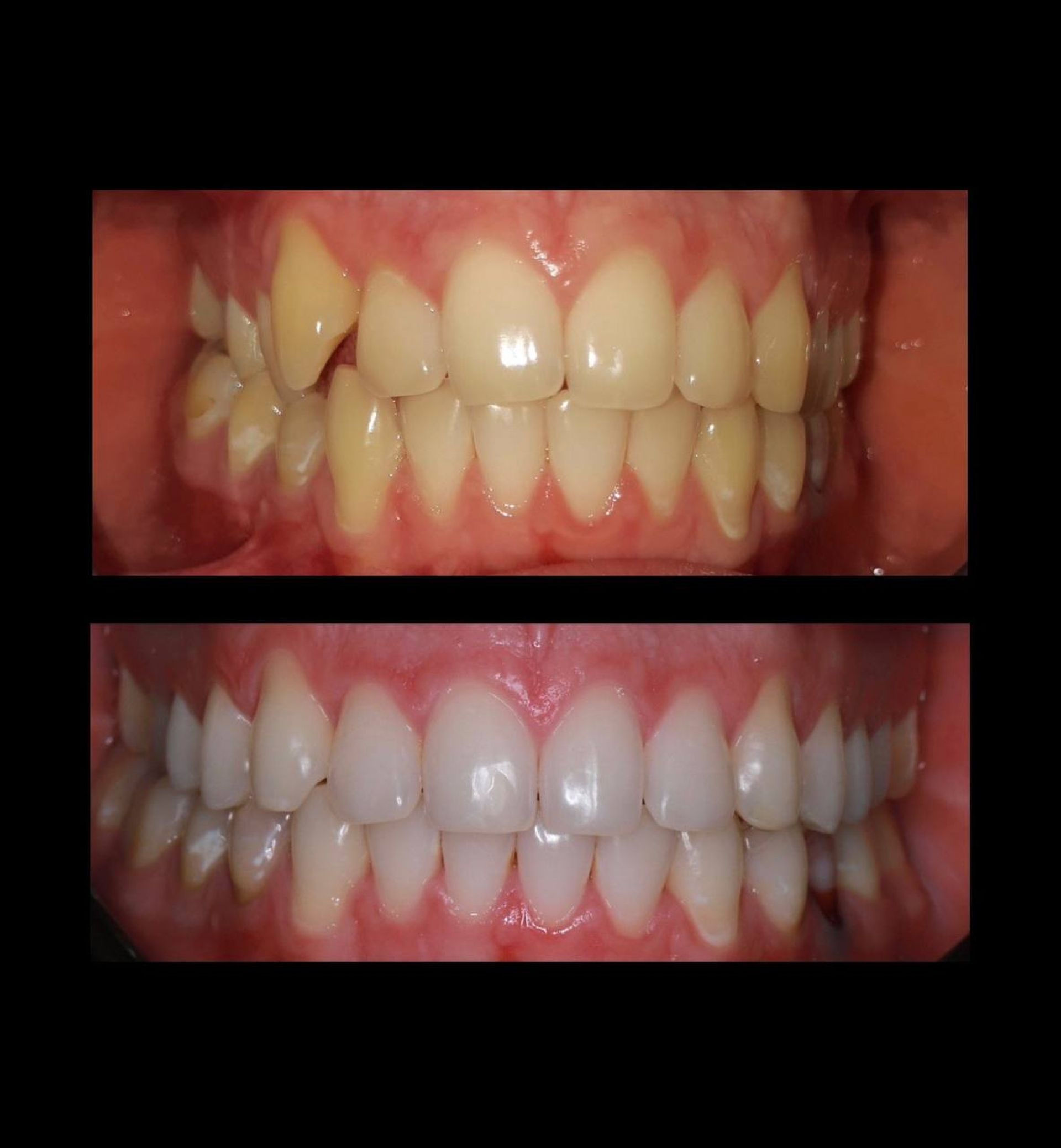
Стоматологічній клініка «Добра Стоматологія»
«Добра Стоматологія» - це висококваліфіковані спеціалісти в терапевтичній, ортопедичній, хірургічній, дитячій, а також естетичній стоматології. Маємо багаторічний досвід роботи, високий рівень професіоналізму, застосуємо сучасні технології та індивідуальний підхід до кожного пацієнта.
Ми забезпечимо якісне та безболісне лікування зубів.
Наша головна мета – ваше здоров’я та щасливі посмішки.
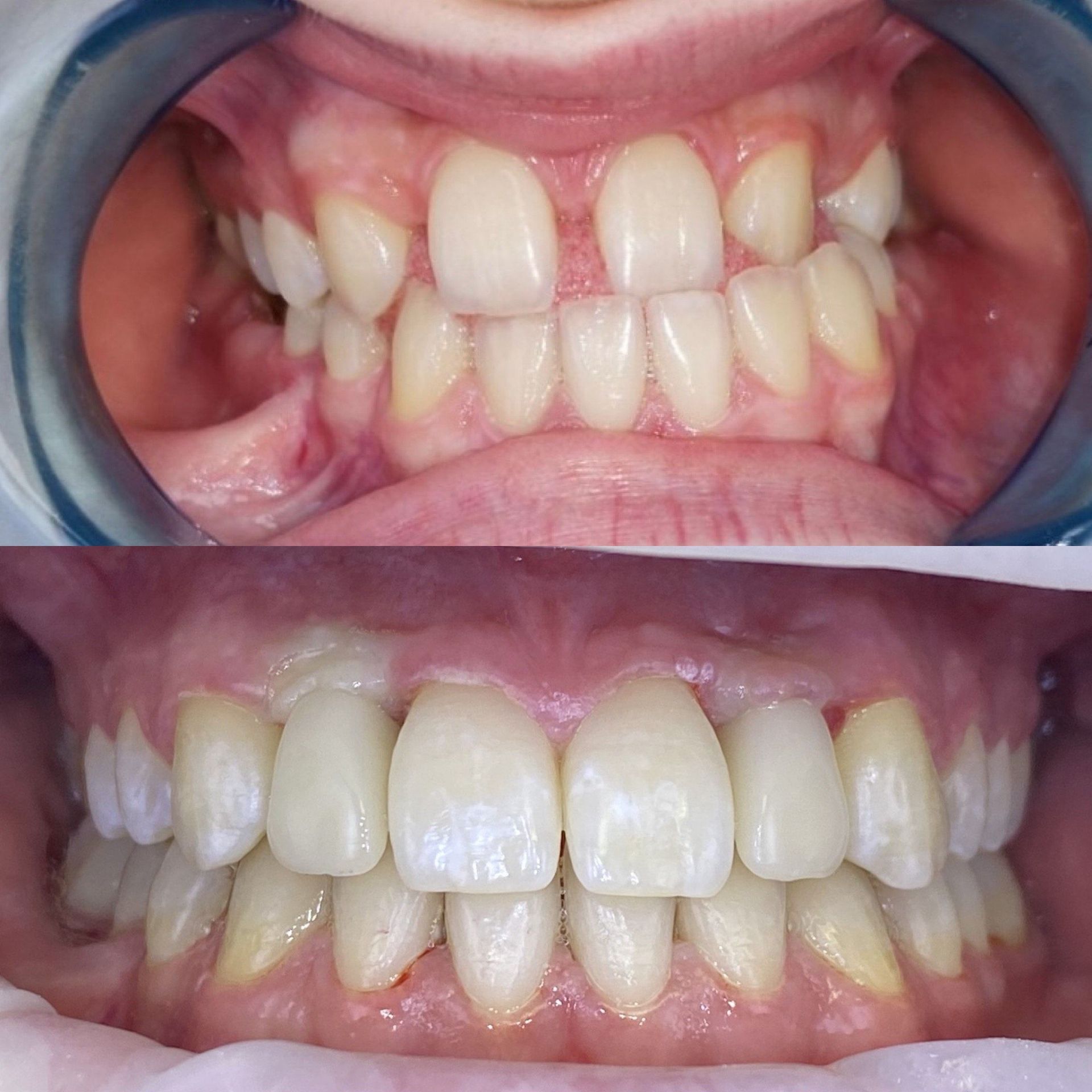
Сучасна медицина дозволяє усунути будь-які дефекти зубів. Брекети та елайнери — два популярні методи вирівнювання зубів, кожен з яких має свої переваги та недоліки.
Брекети – це незнімна конструкція, яка застосовується для вирівнювання зубного ряду і корекції прикусу. Вони складаються з системи замків, які кріпляться на зуби, і металевої дуги з «запрограмованою» пам’яттю. Система створює м’який тиск на кожен зуб, завдяки цьому вирівнюється зубний ряд і формується правильний прикус.
Елайнери — це прозорі пластини, що поступово коригують зуби. Вони майже невидимі, зручніші у використанні, адже можна знімати для їжі та чищення зубів. Однак елайнери підходять не для всіх випадків і можуть вимагати більше дисципліни в носінні.
Вибір між брекетами та елайнерами залежить від ваших індивідуальних потреб і переваг. Якщо у вас складний випадок або ви хочете максимального результату, брекети можуть бути кращим вибором. Якщо ж ви шукаєте естетичніший, зручніший і менш помітний спосіб лікування, елайнери можуть стати ідеальним варіантом.
Важливо проконсультуватися з нашим ортодонтом, який допоможе визначити, який метод підходить саме вам, враховуючи ваші стоматологічні потреби і стиль життя.
Стань ближче до здійснення мрії отримати красиву посмішку, записуйся на безкоштовну консультацію.
Ми працюємо, щоб ви посміхалися!!!
Графік роботи: Пн.-Пт. 08.30 -18.30, Сб. 08.30 -15.00, Нд. - вихідний
Адреса: м. Тернопіль, вул. Б. Хмельницького, 3.
Тел.: (068) 715 68 19, (097) 804 06 06.
https://www.facebook.com/dobrastoma.te/
https://www.instagram.com/dobrastoma.te/
https://top20.ua/tr/krasotazdorove/stomatologi/dobraya-stomatologiya.html
Стоматологія SLclinic
Ортодонтичне лікування є важливою складовою здоров’я ротової порожнини та загального самопочуття.
У SLclinic ми допомагаємо створити ідеальну посмішку, використовуючи сучасні методи корекції прикусу. Наші спеціалісти пропонують широкий спектр рішень для виправлення зубного ряду, зокрема брекет-системи, елайнери, а також індивідуальні плани лікування для пацієнтів будь-якого віку. Ми прагнемо забезпечити комфорт та найкращі результати, адже правильний прикус — це не лише естетика, а й запорука здоров’я зубів та ясен.
Також SLclinic надає весь спектр стоматологічних послуг!
• Терапевтична стоматологія
• Дитяча стоматологія
• Ортодонтія
• Хірургія різної складності
• Імплантація
• Імплантація в концепції “all on 4” і “all on 6”
• Різного виду ортопедія (протезування).
Бути здоровим — це найбільша цінність! SLclinic подбає про стоматологічне здоров’я усієї вашої родини!
Адреса: м. Тернопіль, вул. Є. Коновальця, 15
Тел.: (096) 950 12 12
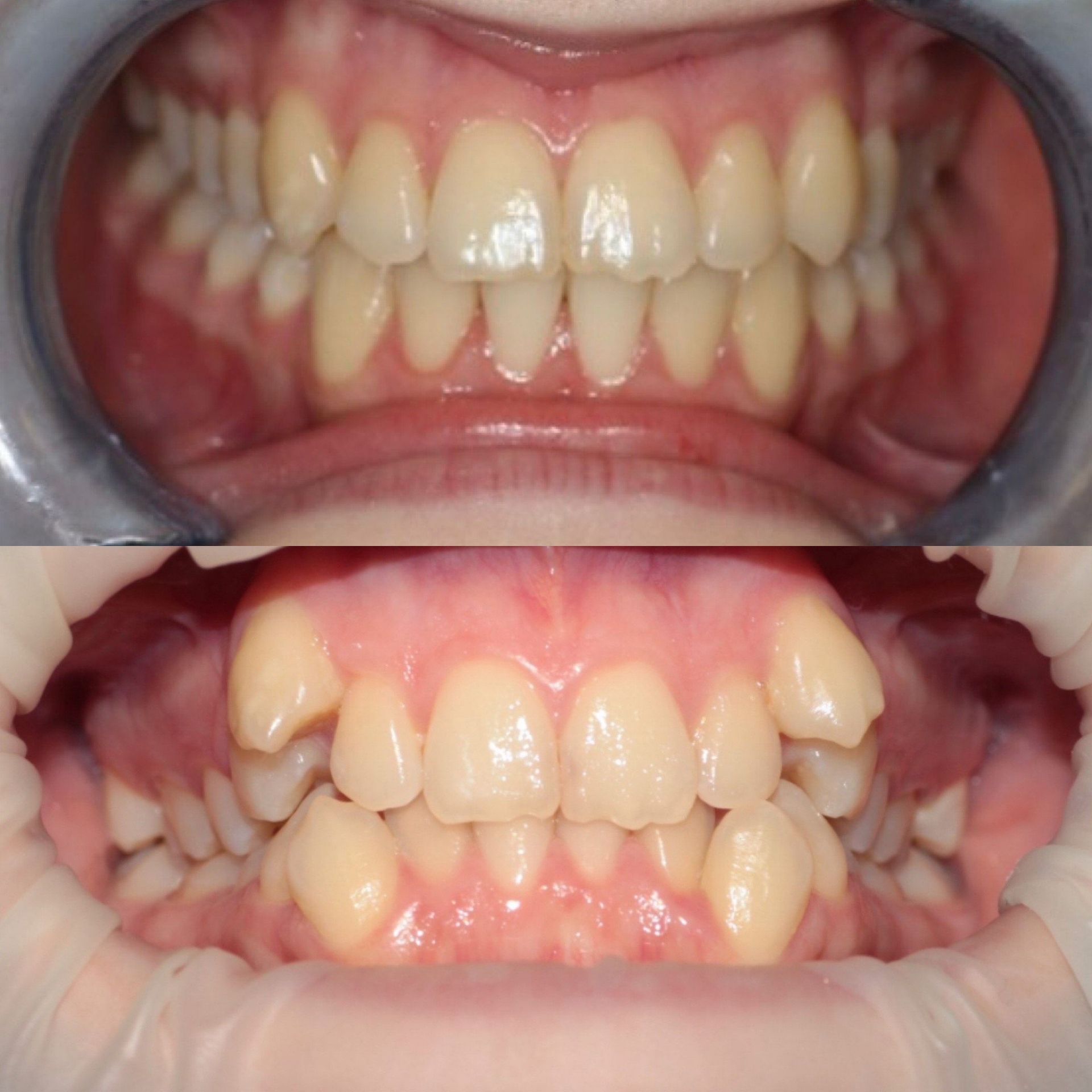
Лікар-стоматолог-ортодонт Тьора Катерина
Лікар-стоматолог-ортодонт Тьора Катерина займається виправленням неправильного прикусу в дорослих та дітей. Ортодонтичне лікування дозволяє змінити прикус та покращити зовнішній вигляд вашої посмішки. Це відбувається завдяки використанні різних знімних пристроїв, елайнерів та різних видів брекетів: класичні металічні брекети, керамічні брекети або самолігуючі брекети.
Класичні металічні брекети виготовлені із нержавіючої сталі та відомі своєю міцністю, що дозволяє їм витримувати значні навантаження.
Керамічні брекети виготовлені із прозорої або кольорової кераміки, менші помітні, оскільки їм можна підібрати до кольору зубів, відтак надають більше природного вигляду.
Самолігуючі брекети мають спеціальні класпи, які дозволяють брекетам утримувати дрібніші дроти без потреби у бандажуванні. Такі брекети можуть скорочувати тривалість лікування порівняно з традиційними брекетами. Залежно від типу самолігуючих брекетів, вони можуть бути менш помітними, ніж металеві брекети, але трохи більш помітними, ніж керамічні. Проте такий тип брекетів може вимагати менш частого відвідування лікаря для налаштування порівняно з традиційними брекетами.
Елайнери виготовляються з прозорого матеріалу, відтак є естетичними та непомітними. При корекції прикусу їхня ефективність дорівнює повноцінним брекет-системам, набір кап виготовляється індивідуального для пацієнта після проведення тривимірного моделювання.
Тривалість лікування залежить уже від кожного окремого випадку та індивідуальних особливостей організму. Окрім цього, лікар-стоматолог-ортодонт Тьора Катерина також пропонує розтермінування оплати на ортодонтичне лікування.
Лікар-стоматолог-ортодонт Тьора Катерина
Адреса: м. Тернопіль, вул. Микулинецька, 3а («Європейська стоматологія»)
Тел.: (096) 622 99 08
https://www.instagram.com/dr.tora_orthodont
«Сімейна стоматологія Юрія Верещагіна»
Порушення прикусу – дуже поширена проблема.
Пошук ідеального шляху до красивої усмішки і здорових зубів може бути завданням цікавим та важливим.
Перед цим кроком та прийняттям рішення щодо методу вирівнювання зубів потрібно обговорити свої побажання з лікарем ортодонтом нашої клініки, який надасть індивідуальні поради та допоможе Вам зробити найкращий вибір.
Ортодонтичне лікування зараз можна здійснити двома популярними способами – встановити брекети або сучасні елайнери.
Остаточний вибір залежатиме від Ваших особистих вподобань, медичних рекомендацій та мети, яку Ви прагнете досягти.
Зверніться до професійних ортодонтів у нашій клініці "Сімейна стоматологія лікаря Верещагіна", для консультації та рекомендацій для вирішення Вашої конкретної ситуації.
Підібравши найкращу методику саме для Вас - ми вирішемо проблему скупчення зубів назавжди, що допоможе покращити якість життя, комфорт під час розмов та самооцінку.
Адреса: м. Тернопіль, вул. Миру 5,
Тел.: (098) 790 73 02
Графік роботи: пн-пт 9.00-19.00, сб 9.00-15.00.
P.s. первинна консультація - безкоштовно)
«Стоматологія на Татарській»
Більшість людей на планеті мріють про те, щоб мати рівні зуби та гарну усмішку,
Сучасні лікарі-стоматологи – це кваліфіковані спеціалісти, які пропонують максимально якісні послуги для своїх пацієнтів.
Якщо потрібно виправити дефекти в зубному ряді, які відображаються на естетичному сприйнятті усмішки, то лікарі «Стоматології на Татарській» можуть запропонувати для цього рішення брекети або елайнери. Ми спеціалізуємося на виготовленні елайнерів та встановленні брекет-систем для дорослих та дітей.
Брекети кращі у важких ортодонтичних випадках, пов'язаних зі значним зміщенням зубів або складними проблемами прикусу. Елайнери ефективні в менш складних випадках, коли зубний ряд потребує некритичної корекції.
Елайнери, як правило, більш комфортні та зручні завдяки їхній знімності та гладкій конструкції.
Найбільш адекватну пораду на вибір пацієнту зможе надати наш кваліфікований фахівець ортодонт, попередньо оцінивши вік пацієнта, ступінь викривлення зубів, рівень аномалії прикусу, стан ясен тощо.
Наша «Стоматологія на Татарській» пропонує широкий спектр послуг, від ортодонтичного лікування брекетами до встановлення цирконієвих коронок. Ми здійснюємо:
- лікування карієсу;
- ортодонтичне вирівнювання зубів та прикусу;
- ортопедичне лікування;
- протезування на своїх зубах;
- естетичні реставрації вінірами та протезування на імплантах;
- хірургічне лікування: типове та атипове видалення зубів, резекція кореня зуба, імплантація, всі види кісткових пластик;
- послуги професійної гігієни та зміцнення зубів.
Окрім того, стоматологи «Стоматології на Татарській» проводять навчання з догляду за порожниною рота, на яких навчать вас, як правильно самостійно дбати за ротовою порожниною. Поруч з цим тут надають послуги фізіології лікування захворювання пародонта.
Подбайте про здоров’я своїх зубів та ясен – записуйтеся на консультацію у «Стоматологію на Татарській»!
Працюємо щоденно з 8.00 до 20.00год., у суботу з 9.00 до 17.00год, неділя- вихідний.
Адреса: м.Тернопіль, вул. Татарська, 8.
Тел.: (098) 609 30 99
https://top20.ua/tr/krasotazdorove/stomatologi/stomatologiya-na-tatarskoy.html