Зубні імпланти, чи боляче їх ставити і як довго служитимуть. Огляд стоматологій Тернополя (партнерський проєкт)

- Втрата зубів – це не лише естетична проблема, а й ризик для здоров'я. Відсутність зубів негативно впливає на мову, травлення, може призвести до деформації щелепи.
- Сучасна стоматологія пропонує ефективне рішення – зубні імпланти.
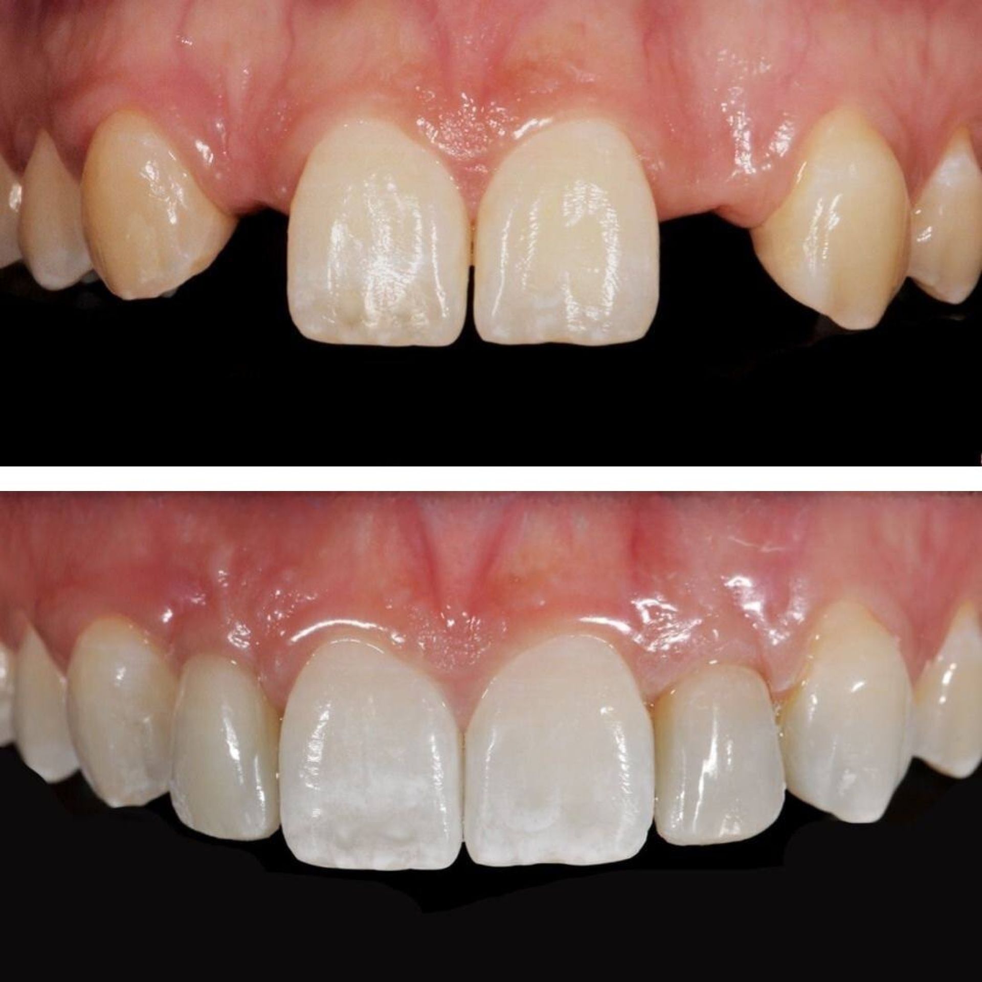
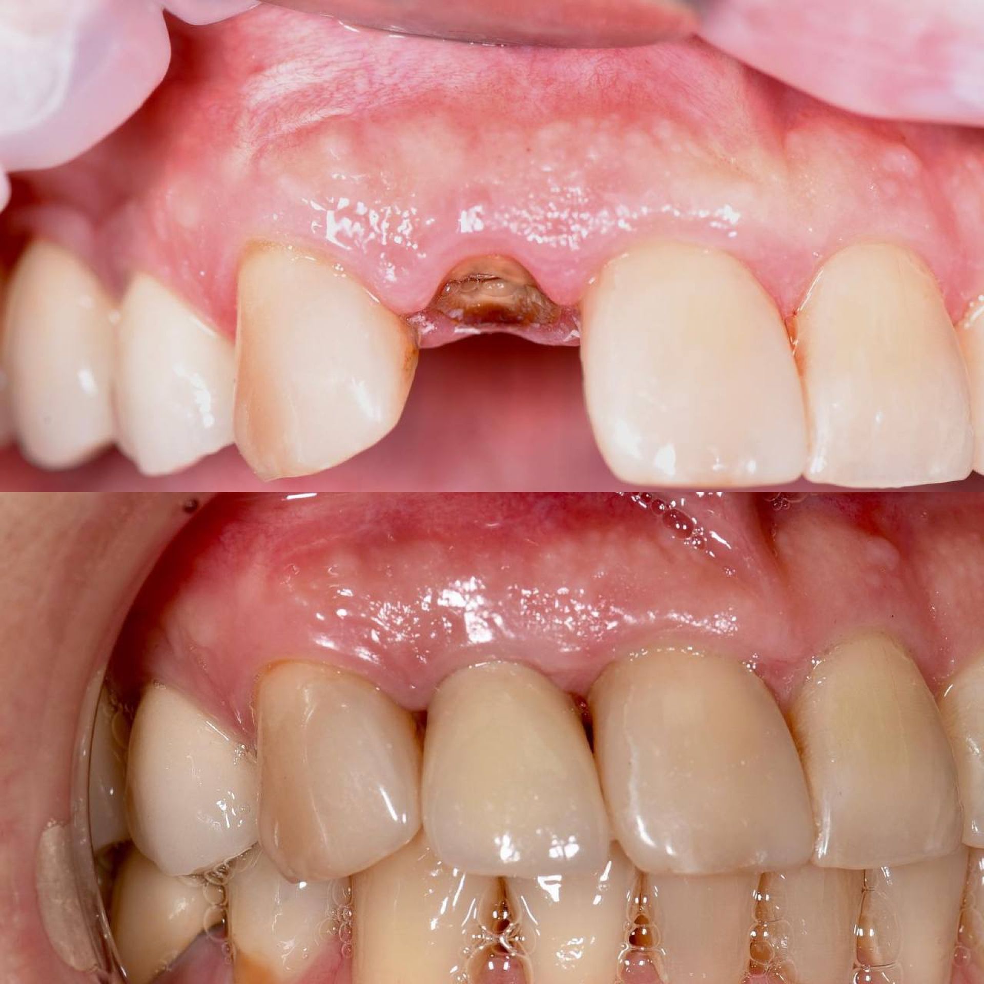
Імплант – це штучний корінь зуба, який виготовляється з титану. Він хірургічно вставляється в щелепну кістку, на ньому фіксується коронка, міст або протез. Імпланти відновлюють не лише естетику посмішки, але й функціональність зубів, даруючи Вам комфорт та впевненість.
Процедура імплантації проводиться під місцевою анестезією, тому болю Ви не відчуєте. Сучасні методи та обладнання роблять процес максимально комфортним.
При правильному догляді імпланти можуть служити протягом 20-30 років і більше.
Зміст:
- Стоматологія «Royal Clinic»
- Стоматологічна клініка «Естетика»
- Стоматологічна клініка «DS Dentistry»
- «Стоматологія Олексюка»
- Стоматологічній клініка «Добра Стоматологія»
Стоматологія «Royal Clinic»
«Royal Clinic» - ми пропонуємо сучасні методи відновлення відсутніх зубів завдяки імплантації.
Імплантація зубів — це сучасна технологія відновлення зубного ряду, яка використовується для заміщення втрачених зубів. Цей процес полягає в установці штучного корінця зуба, відомого як імплантат, у кістку щелепи, на який потім кріпиться внутрішньоротова частина — коронка.
Завдяки імплантатам Ви назавжди забудете про дискомфорт, який спричиняє відсутній зуб або зуби. Ми якісно відновимо жування та естетику Вашої посмішки в найкоротші терміни з довготривалим результатом.
Сучасні протоколи імплантації дозволяють:
- одномоментно видаляти зуб та встановлювати імплант з подальшим протезуванням коронкою;
- відновлювати весь зубний ряд завдяки протоколам «all-on-4», «all-on-6», найкращий варіант при повній втраті зубів;
- завдяки кістковій пластиці ми можемо встановити імплант практично в будь-яких умовах;
- приживлення сучасних імплантів - 99%, термін служби - від 10 років;
- акційна ціна на імплантацію зубів діє до кінця травня, встигніть скористатись.
Значним бонусом «Royal Clinic» є надання всіх стоматологічних послуг. Окрім імплантації, ми зможемо виявити всі наявні проблеми та запропонувати їх рішення. Всього за одну консультацію Ви отримаєте план лікування зі всіма потрібними операціями, їх вартістю та тривалістю.
Доступні послуги у «Royal Clinic»:
- лікування карієсу;
- лікування каналів;
- професійна гігієна;
- відбілювання;
- брекет-системи, пластинки;
- дитячий прийом;
- видалення зубів, кісткові пластики, імплантація;
- коронки, вініри, протезування на імплантах, знімні протези;
- художні реставрації зубів;
- профілактика.
Адреса: м. Тернопіль, вул. Тарнавського 32 (вхід від дороги).
Тел.: (097) 693 03 13.
Instagram: instagram.com/royal.clinic.ternopil
Стоматологічна клініка «Естетика»
Стоматологічна клініка "Естетика" пропонує повний спектр професійних послуг:
- терапевтична стоматологія;
- хірургічна стоматологія;
- протезування;
- естетична стоматологія;
- профілактична стоматологія;
- ортодонтія.
Особлива гордість це сфера дитячої стоматології, в якій забезпечується лікування діток будь-якого віку та з різними супутніми патологіями.
Вперше в Тернополі введено лікування діток у «медикаментозному сні» та в седації закис азоту кисневою сумішшю. Перевагами цієї процедури є:
- абсолютна безпека процедури;
- відсутність алергічної реакції;
- швидке виведення з організму;
Під час лікування у седації ЗАКС:
- дитина залишається у свідомості;
- зберігаються всі рефлекси;
- дитина самостійно дихає.
Медикаментозний сон (наркоз) – це медична процедура, яка при використанні певних препаратів допомагає пацієнтам заснути під час лікування.
Окрім того, у стоматології «Естетика» використовуються тільки сучасні матеріали та обладнання, працюють кваліфіковані лікарі, які постійно удосконалюються і відвідують різноманітні курси та майстер-класи для підвищення кваліфікації.
Стоматологія «Естетика»
Адреси: вул. Миру, 2
Тел.: (097) 614 01 46
Провулок Тарнавського, 2а
Тел.: (097) 202 01 11
Instargam: https://www.instagram.com/esteticaternopil/
Стоматологічна клініка «DS Dentistry»
Історія клініки почалась у 2012 році. З того часу нам вдалось досягти високих результатів, та завоювати довіру більше, ніж 12 000 пацієнтів. Але і на цьому не зупиняємось, перебуваючи в постійному розвитку.
Лікування відбувається на сучасному обладнанні за новітніми технологіями
Філософія стоматологічної клініки «DS DENTISRTY» будується на чотирьох принципах:
- професіоналізм і високий рівень кваліфікації співробітників;
- високоякісне лікування за доступною ціною
- орієнтація на максимальне задоволення потреб кожного клієнта;
- відповідальність за результат і соціальна значимість;
На кожен напрям у нас окремий лікар. Якщо необхідне комплексне лікування, то воно відбувається в межах клініки.
По імплантації
Імплантація - сучасний метод відновлення втрачених зубів.
Імплантат – це аналог кореня зуба, який зроблений зі сплаву металів, де у відсотковому співвідношенні переважає титан. Оскільки матеріали біосумісні з кістковими тканинами, то вони легко приживаються.
Різні виробники додають свої «фірмові» особливості кожного імплантату (наприклад, різні насічки або хімічний спосіб обробки поверхні для кращої первинної стабілізації і подальшого приживлення)
Також деякі виробники дають довічну гарантію на свої імпланти
Тривалість
Імплантація - складний процес, який відбувається в декілька етапів:
- безкоштовна консультація, підготовка
- операція
- післяопераційний період (зростання кістки)
- кріплення абатменту
- встановлення коронки
Імплантація - довготривалий процес, який може становити декілька місяців. Все залежить від індивідуальних обставин, та процесу загоєння
Дана послуга доступна у декількох сегментах:
- Українські імпланти 200$, абатмент 50$ (повна вартість: 250$+5500 грн.)
- Корейські імпланти "Osstem" - 280$, абатмент 50$ (повна вартість: 330$+5500 грн.)
- Французькі імпланти "Global D" 400 євро, абатмент 100 євро (повна вартість: 500 євро + 5500грн.)
- Швейцарські імпланти "Thomen" 21000 грн., абатмент 150 євро (повна вартість: 150 євро + 26500 грн.
Телефон: (097) 720 33 62
Адреси: вул. Крушельницької 18 та вул. Торговиця, 7В
Сайт: https://ds.te.ua/
Instagram: https://www.instagram.com/dsdentistry
Facebook: https://www.facebook.com/ds.dentistry
«Стоматологія Олексюка»
«Стоматологія Олексюка» пропонує високоякісні послуги в галузі імплантації зубів, яка здатна кардинально покращити ваше життя. Завдяки сучасним методам імплантація дозволяє легко та безтурботно відновити втрачені зуби, забезпечуючи Вам впевненість у собі.
Імплантація полягає у встановленні штучного зубного кореня та відновленні коронки за допомогою ортопедичної конструкції. Операція виконується під анестезією, що робить її абсолютно безболісною. Процес відновлення після операції відбувається швидко, що дозволяє вам швидко повернутися до звичайного життя.
Однією із переваг, які пропонує «Стоматологія Олексюка», є негайна імплантація. Цей метод дозволяє встановити імплантат безпосередньо після видалення пошкодженого зуба. Такий підхід гарантує високу точність і швидке відновлення, оскільки кістка ще не зазнала деформацій.
Пацієнти, які обирають негайну імплантацію, отримують такі переваги:
- Швидке повернення до повноцінного життя.
- Менш травматичний та більш ефективний процес.
- Мінімальна кількість візитів до стоматолога.
Хоча негайна імплантація є безпечною та ефективною, вона може не підійти всім пацієнтам. Для визначення необхідності цієї процедури рекомендовано пройти індивідуальну консультацію.
Щоб дізнатися більше про можливості імплантації або записатися на консультацію, звертайтеся до «Стоматології Олексюка» за номером (098) 130 13 71. Відновіть свою посмішку та поверніть собі впевненість з нашою допомогою!
Адреса: вул. Глибока, 25.
Тел.: (099) 350 89 92, (098) 130 13 71.
Графік роботи: Пн.-Пт. з 9.00 до 20.00, Сб. з 9.00 до 18.00, Нд. – вихідний.
При необхідності прийом проводиться у вихідні та святкові дні.
Сайт: https://o.dental/
Instagram: www.instagram.com/clinicdenta
Facebook: www.facebook.com/clinicdenta/
Стоматологічній клініка «Добра Стоматологія»
«Добра Стоматологія» відома своїм високим рівнем професіоналізму, застосуванням сучасних технологій та індивідуальним підходом до кожного пацієнта. Ми забезпечимо вам якісне та безболісне лікування зубів.
Зубні імпланти - це штучні корінці зубів, які встановлюються в кістку щелепи з метою заміни втрачених зубів.
Імплантація рекомендується в різних випадках втрати зубів:
- Втрата одного або кількох зубів;
- Неможливість носити протези або мостики;
- Покращення функціональності та зовнішнього вигляду;
- Збереження кістки щелепи.
Імплантація може бути рекомендована в будь-якому віці, якщо ви втратили зуби та вам потрібна заміна для відновлення функцій ротової порожнини та покращення якості життя.
Імплантати мають кілька переваг порівняно з іншими методами заміни втрачених зубів:
- Натуральний вигляд і відчуття
- Довготривале використання
- Збереження кістки щелепи
- Збереження сусідніх зубів
- Краще здоров’я ясен
Ці переваги роблять імплантати привабливим вибором для багатьох пацієнтів які шукають найефективніший і тривалий спосіб заміни втрачених зубів.
При належному догляді пацієнти можуть користуватися імплантами протягом багатьох років або навіть десятиліть.
Наші переваги:
- проведемо оцінку вашого випадку та розглянемо всі можливі варіанти лікування;
- використовуємо лише якісні імпланти тільки перевірених і кращих світових виробників;
- усі процедури виконуються на обладнанні високого класу;
- увесь інструментарій проходить 3-х етапну дезінфекцію і стерилізацію при високій температурі;
- кожен пацієнт отримує індивідуальний план лікування;
- лікування без болю, доступні ціни і гарантія на виконану роботу.
Наша головна мета – ваше здоров’я і щасливі посмішки.
Графік роботи: Пн.-Пт. 08.30 -18.30, Сб. 08.30 -15.00, Нд. - вихідний.
Адреса: вул. Б. Хмельницького, 3.
Тел.: (097) 934 75 21, (097) 804 06 06.
Адреса: вул. Торговиця, 37.
Тел.: (097) 364 06 06
Сайт: https://dobrastoma.te.ua
Facebook: https://www.facebook.com/dobrastoma.te/
Instagram: https://www.instagram.com/dobrastoma.te/
Довідка TOP20: https://top20.ua/tr/krasotazdorove/stomatologi/dobraya-stomatologiya.html