Стоматолог-ортодонт Теслюк Олена Михайлівна (новини компаній)
Стоматолог-ортодонт Теслюк Олена Михайлівна є професіоналом своєї справи, який надає високоякісні стоматологічні послуги для дорослих та дітей.
Раді повідомити вас про переїзд! Відтепер ми знаходимось за адресою:вул. Торговиця (Живова), 15Б. Основні послуги стоматології - Дбайливо вирішуємо проблеми будь-якої складності:
- Дитяча стоматологія (Лікування зубів наймолодших пацієнтів – швидко, безболісно та з подарунками).
- Доросла стоматологія (Лікування карієсу, протезування, встановлення імплантів, реставрація та вініли).
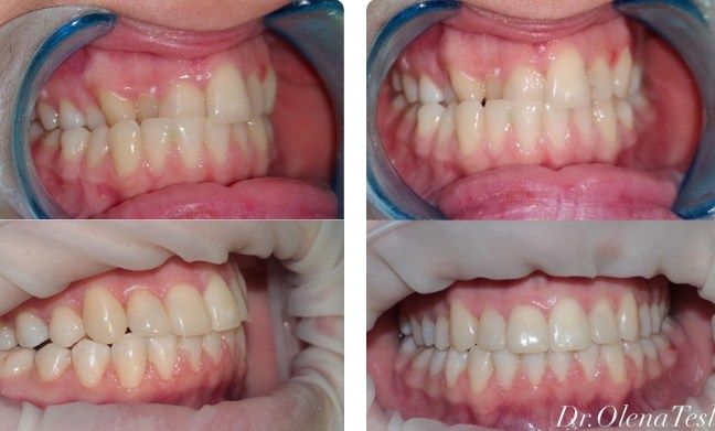
- Ортодонтія (Виготовлення індивідуальних пластинок та апаратів, встановлення брекетів, елайнерів).
- Гігієна порожнини рота (Ультразвукове чищення зубів, видалення пігментованого нальоту від харчових барвників, полірування всіх зубів та покриття фторлаком.)


м. Тернопіль, вул. Торговиця (Живова), 15Б.
Тел.: 097 573 37 13
https://top20.ua/tr/krasotazdorove/stomatologi/stomatolog-ortodont-teslyuk-elena-mihaylovna.html
https://www.instagram.com/orthodont.ternopil/