З турботою та гарантією на 10 років. Подбайте про свою красиву посмішку у клініці "Sonrisa" (новини компаній)
Посмішка – як багато вона значить у житті кожного з нас. Адже всі знайомства, дружба та любов починаються саме з неї. А здорова посмішка – автоматично стає красивою.
Насправді важливі два компоненти – не тільки зовнішня привабливість, а й здоров'я ротової порожнини. Адже зуби потрібні людині, щоб вона могла вживати в їжу різноманітні продукти, які зміцнюють організм.
Гарантія на 10 років!
Важливо – мати не просто зуби, а красиві та міцні зуби, інакше вони стають джерелом розмноження бактерій. Звідси вже тягнеться цілий клубок негативних наслідків – захворювання шлунка, печінки, горла тощо. Полікувавши зуби, ви побачите чудо – ваш організм почне працювати врази краще. Ось чому мати саме здорову посмішку – так важливо!

Звісно, без допомоги спеціалістів тут не обійтися.
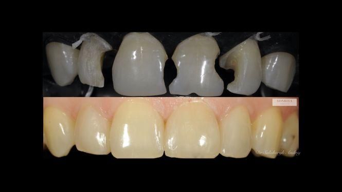
Ваш зуб сильно зруйнований, або вас не влаштовує форма чи колір зуба? У клініці "Sonrisa" це питання швидко вирішують. Адже лікар Андрій Салагорник проводить повне відновлення анатомії та кольору жувальних зубів. Реставрація зубів накладає особливі умови, адже крім уміння працювати з матеріалом, спеціаліст повинен володіти глибокими анатомічними знаннями, щоб зуміти відтворити зуб зі збереженням не тільки естетики, а й його повного функціоналу.
Погодьтесь, де ще знайдеш стоматолога, який дасть вам гарантію аж на 10 років. Це ще один вагомий аргумент, аби звернутися за допомогою саме в клініку "Sonrisa".

Відновлюють анатомію і колір
Клініка Андрій Салагорника – місце, де якість – у пріоритеті. У чому, власне, полягає сама методика, як тут лікують та чому так важливо, аби і правильна анатомія, і красивий вигляд рівноцінно важливі?
Про це розповідає засновник клініки, лікар Андрій Салагорник.
- Перший і найбільш важливий аспект – це здоров'я. Адже від того, як ми пережовуємо їжу, чи в порядку у нас ротова порожнина, залежить функціонування інших органів. Якщо анатомічно все правильно, то при жуванні навантаження має розподілятися на корінь зуба та прилеглі тканини ( пародонт). Якщо ж навантаження зміщується, відколюються бокові стінки зуба, відповідно, треба відновлювати зуб чи то пломбувальним матеріалом, чи то коронкою.

Коли потрібно робити відновлення?
Відновлювати анатомію потрібно завжди при лікуванні зубів, наголошує Андрій Салагорник. Адже лише правильна анатомічна будова забезпечить збереження зуба та його здоров'я.
- Відновлення анатомії – це не про те, щоб просто "заліпити" дірку. Я неодноразово наголошую пацієнтам про головну функцію зубів – обробка їжі. Простіше кажучи, усі ці горбки і поглиблення на поверхні задніх (жувальних) зубів при зімкненні щелеп зустрічаються в суворовизначених природою точках. Цей процес сприяє її максимальному подрібненню. Тому так важливо відтворити анатомічно правильну, рельєфну та жувальну поверхню зуба. А не просто чимось "заліпити" його. До того ж, важливе і правильне формування проміжку між зубами та висоти прикусу. Адже саме неточно відновлений контакт приведе до постійного застрягання їжі. Тому в людини виникає роздратування ясен, почуття дискомфорту та можуть навіть з'явитися проблеми з нижньощелепним суглобом. Це навряд додасть вам гарного настрою, - зауважує стоматолог.
Коли ми чуємо слово "реставрація", то чомусь одразу думаємо про передні зони. Але насправді її заслуговують і інші. Тут не треба легковажити.

- Правильно виконана процедура прослужить вам довго, відновить жувальну функцію і естетичну досконалість. Важливу роль при реставрації зубів відіграє також вибір матеріалу. Ми використовуємо найсучасніші матеріали провідних закордонних виробників. При реставрації матеріал нарощується шарами і за допомогою власних, набутих, мануальних навичок лікаря можливо точно відновити анатомію зуба. Це дає відмінний і довгостроковий результат. Після відновлення анатомії зуба змінюється і прикус. Фотополімерні пломби не випадають (при якісно проведеному пломбуванні) і точно збігаються за кольором з тканинами зуба, що робить їх абсолютно непомітними (зуб виглядає максимально природно).
Якість наше Все — так звучить гасло клініки, тому тут націлені на максимально якісний прогнозований результат.
Найсильніший стимул працювати , вдосконалюватись і прагнути більшого - це подяка задоволених пацієнтів. Наші двері відкриті для вас, завжди раді допомогти!
ДОВІДКА
Проспект Степана Бандери, 63, Тернопіль.
Телефон: 067 454 8185
Стежте за новинами Тернополя у Telegram.
-
ХтосьЦе все дуже добре, але мене цікавить наступне. Чи користуються зараз лікарі респіраторами та які крани стоять на умивальниках: контактні чи безконтактні? Адже безпека має бути понад усе. Відгукніться, в яких тернопільських стоматологіях є такі умови.